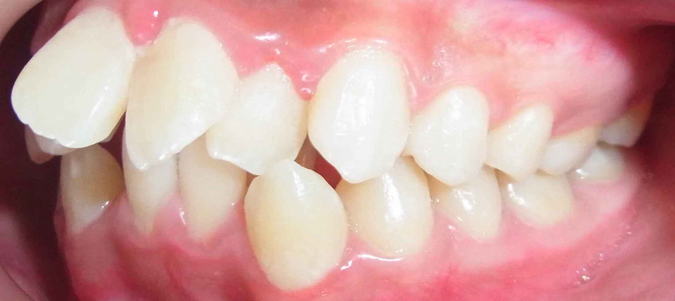
上顎前突
昔から歯並びが気になっていて、ようやく時間が取れるようになってきたのできれいに整えてほしい!と、いうことで来院されました。
| 治療前 | 治療後 |
|---|---|
治療前1![]() |
治療後1![]() |
治療前2![]() |
治療後2![]() |
治療前3![]() |
治療前3![]() |
治療内容
インビザライン
年齢
30代男性
概算治療費
約88万円
オンライン診療の併用
なし
治療期間
18か月
通院回数
来院回数:8回
矯正治療のリスクとデメリット
・治療期間が長くなる
・自費診療(保険適用外)
・マウスピース矯正は装着時間が短い場合、想定通りに改善しない事がある。







