HOME
マウスピース矯正
インビザライン
インビザライン(部分矯正)
マウスピース矯正治療の流れ
インビザライン特設ガイド
マウスピース型矯正装置(インビザライン)の症例
診療案内
矯正治療
マウスピース矯正
ワイヤー矯正
部分矯正
小児矯正
インビザラインファースト
中高生の矯正治療
矯正治療の流れ
歯並びについて
治療シミュレーション
その他診療について
医院情報
健軍院紹介
戸島院紹介
西廻りバイパス院紹介
スタッフ紹介
治療費用
マウスピース型矯正装置(インビザライン)の症例
HOME
>
マウスピース型矯正装置(インビザライン)の症例
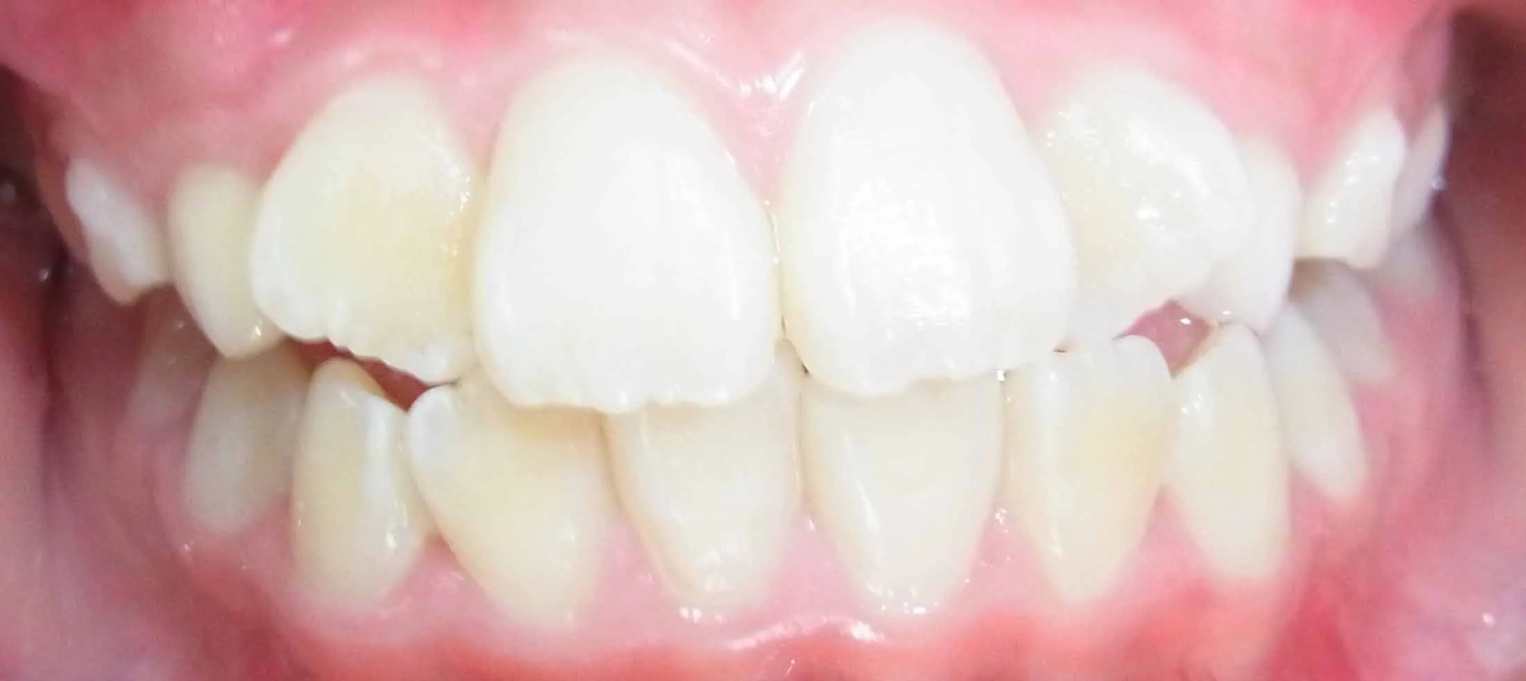
叢生①
Before
After
くわしくはこちら
叢生・部分矯正
Before
After
くわしくはこちら
上顎前突
CASE1
Before
After
くわしくはこちら
CASE2
Before
After
くわしくはこちら
反対咬合
Before
After
くわしくはこちら